Macskák injekció okozta szarkómája – mi ez?
A macskák injekció okozta szarkómája (feline injection-site sarcoma rövidítve: FISS) egy viszonylag ritka, a lágyszöveti szarkómák csoportjába tartozó daganat, ami bizonyos vakcinák, antibiotikumok vagy szteroid injekciók beadásának helyén alakulhat ki.
Előfordulási gyakorisága változó lehet, kb. 1-10 eset fordul elő 10 000 injekció beadása után. Pontos arányt nehéz meghatározni, mivel a kialakulást sok tényező befolyásolhatja, mint például az injekció típusa, a beadás helye és a macska egyedi hajlamossága.
Hogyan alakul ki?
A hosszú hatású injekciók (ún. long-acting szteroidok és antibiotikumok), valamint a veszettség és a macskaleukémia vírus elleni vakcinák prediszponáló (hajlamosító, elősegítő) hatását már igazolták.
Ennek pontos oka nem teljesen ismert, de úgy gondolják, hogy a vakcinák adjuvánsai (olyan anyagok, amelyeket a vakcinák hatékonyságának növelése érdekében adnak hozzá, pl. az alumínium-hidroxid) gyulladást okozhatnak, ami idővel bizonyos egyedekben daganatképződéshez vezethet.
A daganat a bőr alatti kötőszövetben fejlődik ki hetekkel, hónapokkal, vagy akár több évvel az injekció beadása után.
Injekció okozta szarkóma
Mik a leggyakoribb tünetek?
- Csomó vagy duzzanat kialakulása az injekció beadásának helyén
- A csomó növekedése az idő múlásával
- A bőr színe vagy felszíne megváltozhat az érintett területen
- A duzzanat gyakran folyadékot tartalmaz, emiatt akár cisztának is tűnhet
Mi jellemzi ezt a daganattípust?
Ez a daganat a kialakulás helyén extrém módon agresszíven növekszik, gyorsan átszövi a környező szöveteket is. A daganat valós kiterjedése, mérete gyakran sokkal nagyobb, mint amit a bőrön keresztül látni vagy tapintani lehet. Ez azért van, mert a daganat mélyen beszövi a környező szöveteket. A széli részén gyakran egy tokszerű pszeudokapszula van, ami azt sejteti, hogy ez egy jól körülhatárolt képlet, ami élesen elkülönül a környező szövetektől.
Szöveti szinten viszont ennek pont az ellenkezője igaz: a tumorból a napsugarakhoz hasonlóan nyúlványosan és hosszan erednek daganatsejtek a szomszédos struktúrák irányába, melyek szabad szemmel nem láthatók.
A magasabb malignitási fokozatú, ún. high-grade tumorok áttétképző hajlama is jelentős. A primer daganattól távol eső metasztázisok az esetek kb. 25%-ában fordulnak elő, leggyakrabban a tüdőben.
Hogyan diagnosztizáljuk?
A diagnosztika általában a fizikai vizsgálattal kezdődik, amelyet gyakran vékonytűs citológiai vizsgálat és/vagy biopszia követ. A biopsziás vizsgálatra azért lehet szükség, mert a citológiai vizsgálat (amikor egy vékony tűvel vesznek mintát) nem mindig informatív, illetve esetenként téves negatív diagnózist adhat (nem mutatja ki a daganatot).
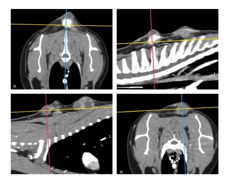
A daganat kiterjedésének meghatározása és a műtéti tervezés ideális esetben 3D képalkotó vizsgálattal (CT, MRI) történik, mely áttétkeresésre is alkalmas.

Injekció okozta szarkóma CT
Az altatással járó beavatkozásokhoz az általános állapot felmérése is szükséges, ezért vérlabor és vizeletvizsgálat elvégzése is fontos.
Hogyan kezelhető?
A daganat megfelelő technikával történő műtéti ellátása a legfontosabb lépés. Mivel ezek a daganatok általában mélyen beszűrődnek a környező szövetekbe, minden irányban széles margóval történő operáció szükséges, ami érinti a környező izmokat, de akár a csontokat is. Mivel a sebészi eltávolítás kihívást jelenthet, szükség lehet onkosebész bevonására, aki specializálódott ilyen műtétek elvégzésére. A daganat nem megfelelő eltávolítása az újabb műtétet lehetetlenné teheti, és a cica gyógyulási esélyei jelentősen csökkennek. Az eltávolítás előtt a megfelelő műtéti technika alkalmazásához meg kell állapítani a daganat típusát!
Mivel a daganat kiújulása még komplett eltávolítás esetén is előfordul, a recidíva (kiújulás) megelőzésére lokális tumorgátló kezelés javasolható (pl. sugárterápia, elektrokemoterápia), ami segíthet elpusztítani a műtét során esetleg visszamaradt rákos sejteket. Ha az áttétképződés esélye nagy, kemoterápia is szükséges lehet.
A kezelés megtervezése az adott esettől függ, és figyelembe kell venni a daganat méretét, elhelyezkedését, elterjedését, valamint a macska általános egészségi állapotát. Összességében elmondható, hogy a legeredményesebb daganatkontroll rendszerint kombinált kezeléssel érhető el.
A palliatív terápia magában foglalja a fájdalomcsillapítást, az étvágyjavítást és más olyan támogató kezeléseket, amelyek javítják a macska életminőségét a kezelés alatt és után.
Hogyan előzhető meg?
Az állatorvosok általában megpróbálják minimalizálni a kockázatot azzal, hogy csak indokolt esetben oltják a cicákat leukózis és veszettség ellen. A lakásban tartott cicák – ha másik macskával nem találkoznak (pl. cica panzióban) – leukózis elleni oltása nem indokolt. A veszettség ellen csak akkor javaslunk oltást, ha a cica kijárós és olyan területen él, ahol veszettség előfordul, vagy külföldre utaznak vele, mert ez esetben kötelező.
Lehetőség szerint adjuvánsmentes rekombináns vakcinákat alkalmazunk. A beadás helyét úgy kell megválasztani, hogy onkológiai szempontból a széles ép sebészi szélek a lehető legkönnyebben kivitelezhetőek legyenek a daganat eltávolítása során. Az oltások javasolt helye a hátulsó végtagok térd alatti része, esetleg a faroktő. A martájékra adott vakcina kerülendő.
Fontos, hogy a gazdik figyeljék az injekciók beadási helyét, és ha bármilyen szokatlan csomót vagy duzzanatot észlelnek, azonnal forduljanak állatorvoshoz. Korai felismeréssel és megfelelő kezeléssel javíthatók a gyógyulási kilátások.
A cikk végére az alábbi gyakran feltett kérdéseket (FAQ) javasolnám, amelyek segíthetnek a macskatartóknak jobban megérteni a témát és választ kaphatnak a leggyakoribb aggodalmaikra:
///
Gyakran feltett kérdések (GYIK)
1. Milyen gyakran fordul elő injekció okozta szarkóma macskáknál?
Az injekció okozta szarkóma viszonylag ritka, 10 000 beadott injekcióból körülbelül 1-10 esetben fordulhat elő. Pontos gyakoriságát nehéz meghatározni, mert több tényező is befolyásolhatja, például az injekció típusa, a beadás helye és a macska egyedi hajlamossága.
2. Hogyan ismerhetem fel, ha macskámnál injekció okozta szarkóma alakul ki?
Figyelje az injekció beadási helyét! Ha csomót vagy duzzanatot tapasztal, amely idővel növekszik, vagy ha a bőr színe megváltozik az érintett területen, akkor érdemes állatorvoshoz fordulni, mivel ezek lehetnek a szarkóma jelei.
3. Mennyire súlyos ez a daganat?
Az injekció okozta szarkóma egy nagyon agresszív daganattípus, amely gyorsan átszövi a környező szöveteket. Ha nem kezelik megfelelően, a daganat tovább terjedhet, és súlyos egészségügyi problémákhoz vezethet, beleértve az áttétképződést is.
4. Hogyan kezelhető az injekció okozta szarkóma?
A kezelés általában műtéti eltávolítással kezdődik, amely során a daganatot széles margóval távolítják el. Sugárterápia, elektrokemoterápia és szükség esetén kemoterápia is része lehet a kezelésnek, különösen, ha fennáll az áttétképződés veszélye.
5. Mit tehetek a megelőzés érdekében?
A megelőzés érdekében fontos, hogy az állatorvos csak indokolt esetben adjon bizonyos oltásokat, mint például a leukózis és veszettség elleni vakcinákat. Érdemes adjuvánsmentes vakcinákat kérni, és figyelni arra, hogy az injekciókat olyan helyre adják, ahol szükség esetén könnyen eltávolítható a daganat. Ha bármilyen szokatlan csomót vagy duzzanatot észlel az injekció beadási helyén, azonnal forduljon állatorvoshoz.
TELEFONOS ONKOLÓGIAI KONZULTÁCIÓ DAGANATOS ÁLLATOKNAK
Daganatos betegségnél minden nap számít.
Telefonon átbeszélhetjük a leleteket, második véleményt adok és személyre szabott kezelési tervet készítek – akár már 2–3 napon belül.
A konzultációhoz a korábbi leleteket kérem előre beküldeni legalább 48 órával a megbeszélt időpont előtt (e-mailben vagy futárral).




