Az agyat érintő daganatos megbetegedések nem ritkák háziállataink körében. Ezek az elváltozások nagyon eltérően viselkednek, attól függően, hogy a rosszindulatúsági skálán hol helyezkednek el, egy részük hatékonyan kezelhető, de sajnos még mindig sok mindent nem tudunk arról, hogy a különböző típusú agydaganatok miként viselkednek kutyákban és macskákban. Pontos diagnózis a viszonylag költséges képalkotó vizsgálatok, a nehéz vagy lehetetlen mintavétel és sokszor korlátozott kezelési lehetőségek miatt gyakran rejtve marad.
A megbetegedés általában idősebb kutyákat (kb. 14,5/100.000), és ritkábban macskákat érint (kb. 3,5/100.000), de bizonyos fajtáknál fiatalabb korban is gyakrabban fordul elő, így a boxereknél, és a boston terriereknél.
Mi az agydaganat?
Az agydaganat a koponyaüreg belsejében kialakuló tumoros elváltozás, mely lehet primer, azaz elsődlegesen az agy különböző területeiről kiinduló, vagy secunder, vagyis másutt kifejlődő és az agy szöveteire átterjedő daganatáttét.

A kutyáknál és macskáknál megfigyelt primer agydaganatok közé tartozik a meningioma, a glioma, a choroid plexus tumorok, az agyalapi mirigy adenoma és adenocarcinoma stb.
Megjelenésük lehet soliter, azaz önálló, mikor csak egy góc ábrázolódik, vagy multiplex, mikor több terime is megjelenik a koponyaüregben (pl. glioma).
Primer agydaganatok
A meningioma a leggyakoribb elsődleges agydaganat kutyákban és macskákban (és emberekben is). A meningiomák szigorúan véve nem agydaganatok, mert nem az agy sejtjeiből, hanem az azt körülvevő membránszerű agyhártyából származnak. Ezek a daganatok gyakrabban fordulnak elő hosszú orrú (doliochocephal) kutyafajtáknál, például golden retrievernél. A meningiomák általában viszonylag lassan növekszenek és többnyire reagálnak a különböző kezelésekre, bár több rosszindulatú forma is előfordul, melyek rosszabb prognózissal bírnak.
A choroid plexus daganatok is nagyobb számban fordulnak elő golden retrieverekben, mint más fajtákban.
Az astrocytomák és az oligodendrogliomák előfordulása magasabb bizonyos rövidorrú (brachycephal) fajtákban (boxer, boston terrier és bulldogok).
Secunder agydaganatok
Másodlagos agydaganat lehet például a vérerekből kiinduló hemangioszarkóma, a limfóma, az emlőkarcinóma, prosztata karcinóma, orrüregi adenokarcinóma és a melanóma. Ezek a szövetszaporulatok nagyon rossz kórjóslattal rendelkeznek. Macskáknál a limfóma és az agyalapi mirigy daganatai a leggyakoribb másodlagos daganatok, melyek más primer és egyéb szekunder daganatoknál többször fordulnak elő.
Az agydaganat gyanúja esetén is teljes kivizsgálást javaslunk, mely rendszerint vérvételt, képalkotó vizsgálatokat (mellkasi röntgenfelvétel, hasi ultrahangvizsgálat, koponya MRI/CT), és lehetőség szerint mintavételeket foglal magába.
Milyen tüneteket okoznak az agydaganatok?
Az agydaganat kialakulásának sok esetben komoly következményei vannak, és sok gazdi tehetetlennek érzi magát, amikor ilyen diagnózist állítanak fel kedvencénél.
Ezek a térfoglaló terimék az agy szöveteinek összenyomása által okoznak tüneteket, melyek összefüggenek az érintett agyterülethez kapcsolódó funkciókkal, és nem specifikusak a tumorra: bármely, az agy ugyanazon területét érintő betegség hasonló jelenségeket okozhat. Az agydaganatok általában egyre súlyosbodó tüneteket okoznak, melyek jelentkezhetnek hirtelen vagy elhúzódó jelleggel is.
Milyen változásokat idézhetnek elő az egyes agyterületek elváltozásai?
Az agy részei:
- Nagyagy
- Köztiagy: thalamusz, hipothalamusz
- Kisagy
- Agytörzs: nyúltvelő, híd, középagy
- Kérgestest
Előagy
Az előagy (nagyagy + köztiagy) az agy legnagyobb része. Az előagy felelős a gondolkodásért, a viselkedésért és az érzékelési információk feldolgozásáért. Az itt kialakuló daganatok ezért viselkedési rendellenességeket, például a tanult viselkedés elvesztését, tompult tudatállapotot, fokozott vagy csökkent étvágyat, szomjúságot, állandó lépegetést vagy körözést, egyoldali látásromlást (emiatt az állat nekimegy pl. az ajtónak, mert rosszul méri fel az ajtórés nagyságát) okoznak.
Az érintett állatok néha úgy viselkednek, mintha fájdalmaik lennének. A görcsrohamok az előagy betegségének klasszikus jelei. Ezek jelentkezhetnek a fent felsorolt egyéb jelek mellett, vagy egyetlen tünetként fordulnak elő. Amikor egy 5-6 évnél idősebb kutyának vagy macskának görcsrohamai vannak, az agydaganat az egyik lehetséges ok, melyet lehetőség szerint ki kell zárni.
Agytörzs
Az agytörzsnek számos létfontosságú szerepe van, beleértve az éberséget, a motoros működés és egyensúly szabályozását (pl. a járás képességét), valamint a légző-, szív- és érrendszert is befolyásolják. Az agytörzs azoknak az idegeknek a forrása is, amelyek az arc, a szem, a torok, a gége és a nyelv, valamint a rágóizmok mozgását és érzőfunkcióit irányítják.
Az agytörzs daganatai gyorsan végzetesek lehetnek, ha például befolyásolják a légzés szabályozását, de általában az agytörzsi betegség első jelei az egyensúlyvesztés (vestibularis jelek) és a test egyik oldalán fellépő gyengeség.
A vestibularis jelek a következők: fejoldaltartás, oldalra borulás, illetve körmozgás a fej dőlésének irányába, „részeges” járás egyensúlyvesztéssel (ataxia), a szemgolyók akaratlan ide-oda mozgása, kancsalság, étvágytalanság és hányás. Sokféle további jel lehet, például nyelési nehézség, a hang megváltozása és szemmozgatási zavarok. A tünetek további rosszabbodása bénulást, kómát és halált okozhat.
Kisagy
A kisagy felelős a mozgáskoordinációért, és szorosan együttműködik a vestibularis rendszerrel az egyensúly és a testtartás fenntartásáért.
A kisagyi daganat tünetei a következők: koordinálatlan járás, amelyet túlságosan megnyúlt lépéshossz (hypermetria) jellemez, terpeszben (széles alapban) állás, fejremegés, amely gyakran akkor a legrosszabb, ha az állat valamire fókuszál (pl. ételre), de javul/megszűnik, ha az állat figyelme ellazul.
Hogyan diagnosztizálják az agydaganatot?
Az agydaganat felmerülhet minden olyan esetben, ha egy állatnál új idegrendszeri, agyi eredetű tünetek jelentkeznek, főleg azokban az esetekben, mikor az állat 5 évnél idősebb. Ritka kivételektől eltekintve az agydaganatok az agy lágyrészeinek daganatai, ezért nem láthatók a koponya röntgenfelvételein.
Az agy struktúrája mágneses rezonancia képalkotás (MRI) vagy computer tomográfiás (CT) vizsgálat segítségével képezhető le. A következő diagnosztikai lépések ajánlottak
- Teljes fizikai és neurológiai vizsgálat az idegrendszeri tünetek kiindulási helyének azonosítására (az agy vagy a központi idegrendszer más részeinek elváltozása okozza-e az adott tüneteket?)
- Vérvizsgálat egyéb, „neurológiai jellegű” tüneteket okozó más betegségek felderítésére (pl. májbetegség), kizárására és az esetleges altatással járó beavatkozások kockázatának felmérése érdekében
- Mellkasi röntgenfelvételek és hasi ultrahangvizsgálat góckeresés céljából (pl. gyulladásos vagy daganatos gócok, primer daganat, illetve egyéb áttéti gócok felkutatása)
- 3D képalkotás: MRI (esetleg CT) vizsgálat, mely altatásban történik. Az MRI részletesebben leképezi az agy szerkezetét, mint a CT, ezért lehetőség szerint az MRI választandó.

A CT-képeken felderíthető a meningioma és a choroid plexus tumorok többsége, de kevésbé alkalmasak pl. a gliomák azonosítására.
A daganat szövettani típusa sokszor gyanítható a CT vagy MRI felvételeken történő megjelenése alapján, de csak akkor lehet pontosan azonosítani, ha a daganatból mintát veszünk, akár műtéti úton, vagy CT vezérelt biopsziával, erre azonban hazánkban nagyon ritkán kerül sor a beavatkozás kockázata, költsége és a komplex eszköz- és szaktudásigénye miatt. Ennek hiányában azonban gyakran nincs biztos diagnózis, csak feltételezett kórmeghatározás történik, ezért különösen fontos minden egyéb kórfolyamatot kizárni, amennyire csak lehetséges.
Hogyan kezelik állatoknál az agydaganatokat és milyen prognózissal kell számolni?
Az agydaganatok kezelésének lehetőségei közé tartozik általánosságban a műtéti eltávolítás, a sugárterápia, a kemoterápia és a tünetek palliatív, azaz tüneti kezelése.
Sajnos kevés pontos adat áll rendelkezésünkre az agydaganatok viselkedéséről, terápiaérzékenységéről. Ennek számos oka van: például a tulajdonosok gyakran úgy döntenek, hogy nem kezeltetik kedvenceiket (költséges kivizsgálás és kezelés, kétes kórjóslat, sokszor idős állatokról van szó, esetenként társbetegségekkel, vagy súlyos neurológiai tünetekkel).
Nem lehet tudományos szempontból korrekt, pontos információkhoz jutni az egyes kezelési módszerek hatékonyságáról olyan esetekben, ahol ugyan kezelik a kutyákat/macskákat sugárterápiával és/vagy kemoterápiával, de azt nem előzi meg szövettani mintavétel vagy az állat végleges elaltatása, elhullása után diagnosztikai boncolás és szövettani vizsgálat. Utóbbira érthető okokból nagyon ritkán kerül sor.
Az agydaganatok speciális problémát jelentenek a helyeződésük és az általuk érintett szövetek miatt. A koponyaüreg csontos váza védi az agyat, ugyanakkor korlátozza a rendelkezésre álló teret, a koponyaüregen belül semmi másnak nincs helye, így amikor egy szövetszaporulat ott növekszik, összenyomja a környező agyszöveteket. Ráadásul az agyszövet nem tud regenerálódni, ezért a daganatot körülvevő normál agyszövet eltávolítása, sérülése elfogadhatatlan következményekkel járhat a páciens számára.
Műtét
A műtét célja lehet a daganat komplett eltávolítása, amire csak ritkán van lehetőség. Olyankor jöhet szóba, ha biztonságosan elérhető, más fontos agyterületek károsítása nélkül. A műtét célja a klinikai tünetek enyhítése is lehet, az agy szöveteinek dekompressziója által.

Az agytörzs daganatai az koponyaüreg alapjához közel fekszenek, nehezen hozzáférhetők az őket körülvevő vastag csont miatt, ráadásul az agytörzs nem rendelkezik felesleges funkciókkal, ezért károsítása végzetes is lehet.
Ezzel szemben az előagyban sokkal nagyobb a funkcionális felesleg, így sokszor hosszú távú következmények nélkül kimetszhetők az itt helyeződő daganatok. A meningiómák általában az agy felszínén helyezkednek el, ezért ideális jelöltek lehetnek a műtéti eltávolításra. A gliomákat nehezebb sebészileg kezelni, mert az agyszövet mélyebb részein fekszenek.
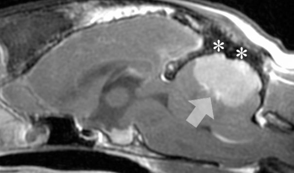
Sugárkezelés
A sugárterápia – hasonlóan a sebészi terápiához – akkor alkalmazható legeredményesebben, ha a tumor csak a szervezet egyetlen, körülírt területére korlátozódik. A sugárkezelés lényege a nagy energiájú ionizáló sugárzás gyógyító célú alkalmazása. A sugárzás a sejtek örökítő anyagának károsítása révén gátolja a sejtosztódást. Tudjuk, hogy a besugárzás a legtöbb agydaganat növekedési ütemét lassítja.

Megjegyzés: a képért köszönet Dr. Garamvölgyi Ritának (Kaposvári Egyetem Diagnosztikai és Onkoradiológiai Intézet)
Mivel az agy nem tudja elviselni a nagy sugárdózisokat, a teljes sugármennyiség korlátozott. Gyakori a szőr színének megváltozása a besugárzott területen, de más mellékhatások is kialakulhatnak, például, ha a fül bekerül a sugárzási mezőbe, hallójárat átmenetileg irritálódhat. A szemet érő sugárzás kötőhártya gyulladást, illetve később szürkehályogot okozhat. A műtéti úton a legtöbb esetben nem eltávolítható gliomák esetén sugárkezelés választható.
Kemoterápia
Kemoterápiás kezelés alkalmával a daganatos állatok olyan készítményeket kapnak, melyek gátolják a rákos sejtek osztódását, elpusztítják azokat. Ezek a szerek főként a gyors sejtosztódást végző sejtekre hatnak, viszont az ép sejteket is károsíthatják.
Az agyat a vér-agy gátnak nevezett barrier védi a vérben keringő káros anyagoktól, így viszont a kemoterápiás szerek agyszövetbe való bejutását is korlátozza. Egyes gyógyszerek, mint például a lomustin (CCNU), a karmustin (BCNU) és a közelmúltban kifejlesztett gyógyszer, a temozolomid, átjuthatnak a vér-agy gáton. Sajnos egyelőre kevés adat áll rendelkezésünkre az egyes daganattípusok kemoterápiás kezeléséről az állatgyógyászati vonalon.
Palliatív kezelés
Az agydaganatok által okozott tüneteket mindenképpen javasolt kezelni. A görcsrohamok kialakulását antiepilepsziás gyógyszerekkel igyekszünk megakadályozni. A daganatok gyakran folyadékfelhalmozódást, ödémát okoznak maguk körül, és ez kortikoszteroidokkal (pl. prednisolon) kezelhető. Mivel számos klinikai tünet oka lehet az ödéma, néhány állat jelentős javulást mutat a prednisolonnal történő kezelés megkezdését követő 24 órán belül. Ez a válasz azonban nem feltétlenül tartós, mivel magát a daganatot nem ez a gyógyszer kezeli, de az állat életminőségét jelentősen javíthatja.
Prognózis
Fontos megérteni, hogy a legtöbb agydaganat kezelhető, de nem gyógyítható meg. A kezelés fő célja a jó életminőség fenntartása a lehető leghosszabb ideig. Egy másik kritikus pont annak megértése, hogy pontosan mit jelent a kezelés hatékonyságára vonatkozó adatok bemutatása. Hasznos kifejezések:
A medián túlélés: pl. a 3 hónapos medián túlélés azt jelenti, hogy az állatok 50% -a 3 hónap múlva él, de 50% -uk elpusztult. Ez nem ad információt a csoporton belüli egyedek túlélési idejéről, hiszen vannak olyan egyedek akik csak 1-2 napig élnek, de vannak akik több évig is élnek egy tumoros diagnózis után. A medián túlélés nagyon hasznos a különböző kezelések összehasonlításához.
A túlélés csak annyit jelent, hogy mennyi ideig maradt életben egy állat, de nem ad információt arról, hogy milyen volt az állat életminősége ez idő alatt.
A progresszióig eltelő idő az az idő, ameddig az állat a klinikai tünetek progressziója, romlása nélkül él, ez jobb képet ad az életminőségről.
Általánosságban az mondható el, hogy a legtöbb primer agydaganat besugárzásakor körülbelül egy év átlagos túlélési idő érhető el. Ennél is jobb túlélés érhető el pl. meningiómás macskák esetén, ha a daganatot műtéttel, majd sugárkezeléssel kezeljük. Van néhány általános irányelv, amely alkalmazható a prognosztizálás során:
- Minél súlyosabbak a tünetek, annál rosszabb a kimenetel
- Minél nagyobb a daganat, annál rosszabb a kimenetel
- Az előagy daganatainak prognózisa jobb, mint az agytörzs és a kisagy tumorainak
- A sugárterápia a legtöbb esetben meghosszabbítja az élettartamot
- A meningiómák jobb prognózisúak, mint az agy mélyebb területein fekvő daganatok (pl. gliomák)

