Mit kell tudni a pajzsmirigyről?
A pajzsmirigy a gége mögött, a légcső két oldalán található páros hormontermelő szerv, ami jellemzően a nyak felső-középső harmadában és alul helyeződik. Mérete függ az állat méretétől, fajtájától, de átlagosan 2-3 cm hosszú és 0,5 cm széles, alakja pedig hosszúkás, orsószerű. Az egyedfejlődés során visszamaradhat a normál helyeződéstől viszonylag távol is pajzsmirigyszövet (pl. nyelv alatt, nyak alsó részén, mellkasban), ez az úgynevezett ectopiás helyeződés.
Kutya pajzsmirigyek elhelyezkedése
A pajzsmirigy megfelelő működése alapvető a test anyagcsere-folyamatainak szabályozásában. Hormonjai hatással van a zsírok, a fehérjék és a szénhidrátok felhasználására, a szívműködésre, az idegrendszerre, a hőszabályozásra, de befolyásolják a növekedést és a fejlődést is.
A pajzsmirigy két fő hormonja, a tiroxin (T4) és a trijódtironin (T3) kulcsszerepet játszik ebben a regulációban. Ha ezek szintje túl magas vagy túl alacsony, annak az egész szervezetre hatása lesz.
Milyen pajzsmirigy daganatok fordulnak elő kutyákban és mi jellemzi ezeket?
Kutyákban a pajzsmirigy daganatok az összes daganatos betegség kb. 1-4 %-át teszik ki, tehát viszonylag ritkák. Általában 9-11 éves korban jelentkeznek, és a közepes- és nagytestű ebekben gyakoribbak. A különböző fajták közül a boxer, a beagle, a golden retriever, és a szibériai husky hajlamosabb erre a betegségre.
A daganatok többsége rosszindulatú carcinoma vagy adenocarcinoma, ezek áttétképző hajlama jelentős, a diagnózis idejére már kb. 30%-ban, később pedig 65-90%-ban alakulnak ki áttétek. Jelentős különbség a cicákhoz képest, hogy kutyákban a daganatok többsége nem befolyásolja a pajzsmirigy hormontermelését, és az érintett kutyák tiroxinszintje normális. Fokozott hormontermelés csak kb. 10%-ban fordul elő, ez viszont kifejezetten a malignus folyamatokra jellemző. Alacsony pajzsmirigy hormonszint is előfordulhat, ha a normál, funkcionáló pajzsmirigyszövet károsodik, de az alacsony tiroxinszintnek sokszor más, pajzsmirigyen kívüli, nem daganatos háttere van.
Milyen tüneteket tapasztalunk egy pajzsmirigy daganatos kutyánál?
A pajzsmirigy daganatok tünete nagymértékben függ attól, hogy a daganatos folyamat befolyásolja-e a szerv hormontermelését, funkcióját. Mivel a kutyák pajzsmirigy daganata általában nem funkcionális (nem hormontermelő), így nem befolyásolja az anyagcserét, a szívműködést és nem okoz az általános állapotban rosszabbodást. A tumor növekedése miatt kialakuló nyaki duzzanat az, ami általában feltűnik, bár egy nagyobb bundájú kutyuson ez tovább rejtve maradhat, és lehet, hogy a góc miatti köhögés, légzési vagy nyelési nehézség, megváltozott hang vagy ugatás, vagy a szemeken jelentkező asszimmetrikus tünetek fognak feltűnni.
Horner szindróma kutyában
A szemeken jelentkező Horner szindróma egy tünetegyüttes, ami jellemzően csak az egyik szemen figyelhető meg, és magában foglalja a szemhéj lógását, a harmadik szemhéj előesését és egyidejű pupillaszűkületet. A Horner szindróma a fejhez térő idegek károsodása, összenyomódása miatt alakul ki ilyenkor, de számos más kórkép esetén is előfordul, nem csak pajzsmirigy daganatnál.
Hogyan diagnosztizáljuk a pajzsmirigy tumorokat?
A fizikális vizsgálat során a nyakon a pajzsmirigynek megfelelő területen érzékelhető duzzanat jelezheti a problémát. Ha pajzsmirigy daganat felmerül, szükség van egy általános vérvizsgálatra és a T4 szint ellenőrzésére.
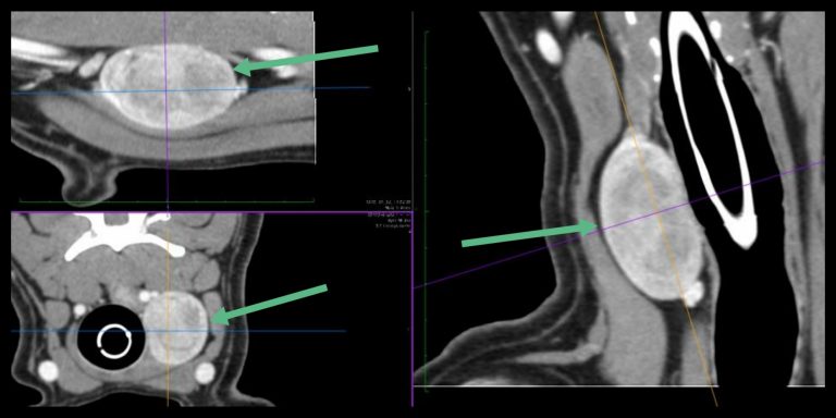
Megnagyobbodott pajzsmirigy
Kutyákban az elváltozás pontos eredetének, méretének, valamint a környező szövetekkel való összefüggésének megítélésére CT vagy MRI vizsgálat szükséges, mert ezeket pusztán tapintásos vizsgálattal nem lehet biztosan megítélni! A mellkas CT vizsgálatának kiemelt jelentősége van az áttétkeresésben is.
Kutya daganatos pajzsmirigyének CT felvétele, a Fuziovet Állatkórház jóvoltából
Citológiai és biopsziás mintavétel általában nem szükséges, így elkerülhető a jelentős vérzésveszély is.
Milyen kezelési lehetőségek vannak pajzsmirigy daganatos kutyáknál?
- Műtét: A pajzsmirigy daganatok leghatékonyabb kezelése a sebészi eltávolítás. Sajnos, ha a daganat helyileg nagyon agresszív, és későn kerül diagnózisra, akkor előfordulhat, hogy már nem műthető. Viszont ha az operáció reális és a daganat még nem terjedt tovább, nem képzett áttéteket, a műtét véglegesen megoldhatja a problémát.
- Sugárkezelés: Ha a daganat nem távolítható el, sugárterápiát alkalmazhatnak a daganat méretének csökkentésére. Olyan esetekben is javasolható sugárkezelés, amikor a műtét ugyan elvégezhető, de nagy a helyi kiújulás esélye.
- Kemoterápia: Rosszindulatú, áttétképzésre hajlamos daganatok esetén kemoterápiás kezelések is szükségesek lehetnek.
- Gyógyszeres kezelés: Kutyákban ritkán van szükség tiroxinkiegészítésre vagy antitireoid terápiára, mivel a daganatok általában nem befolyásolják a hormonszintet.
- Radiojód terápia: ezt a jód izotópos (I131) kezelést kutyáknál elsősorban nem műthető pajzsmirigydaganat esetén alkalmazzák vagy műtét előtt a pajzsmirigy méretének csökkentésére. A kezelés általában intravénásan történik, de nem kockázatmentes, előfordulhat egyedi érzékenység és emiatt csontvelőkárosodás a kezelést követő hónapokban, ami fatális lehet.
Kutyákban a pajzsmirigy daganatok kezelése nagyban függ a daganat méretétől, helyi inváziójától (műthetőség), és az áttétektől, valamint a kezelési lehetőségek elérhetőségétől.
Van-e lehetőség a pajzsmirigy daganatok megelőzésére?
A pajzsmirigy daganatok megelőzésére nincs mód, mivel az állatok genetikája és a sejtek öregedése játszik szerepet a daganatok kialakulásában. Az időben történő felismerés viszont hatékonyabb kezelést tesz lehetővé, ezért az idősebb állatok számára a fokozott otthoni figyelem mellett szűrővizsgálatokat (geriátriai vizsgálatokkal) javaslunk, hogy időben észleljük a problémákat.
Kapcsolódó cikkek: Pajzsmirigy alulműködés kisállatokban




