A különböző anatómiai előfordulású limfómák a cicák leggyakoribb daganatos betegségei. A veselimfóma (renal lymphoma) viszonylag ritkábban fordul elő, az összes limfómás cicabetegség kb. 5-6%-át teszi ki, viszont az elsődleges vesedaganatok közül ez a leggyakoribb tumortípus.
Általában az idősebb állatok érintettek (átlagéletkor 9 év).

A macskák lymphomás megbetegedéseinke megoszlása anatómiai lokalizáció szerint
A veselimfóma tünetei
Veselimfóma esetén rendellenes limfociták (a fehérvérsejtek egyik típusa) szűrik be a vese állományát, ami veseelégtelenséghez vezethet, mivel a működő vesesejteket daganatos sejtek váltják fel.
A vese limfóma lehet önálló betegség, de az esetek kb. 30%-ában a gyomor-bélrendszeri limfómához társul, és 80%-ban mindkét vese érintett.
Okok és kockázati tényezők:
- Vírusos fertőzések: a macska leukémiavírus (FELV) és a macska immunhiányos vírus (FIV) hajlamosíthat a betegségre, de a FeLV vagy FIV pozitív betegek aránya jóval kisebb, mint pl. a gyomor-bélrendszert vagy a mellüreget érintő formáknál
- Genetikai hajlam: néhány fajtánál (pl. sziámi) nagyobb a betegség kockázata

A sziámi cicák hajlamosabbak a veselimfóma betegségre (genetikai hajlam)
Mik a betegség leggyakoribb tünetei?
- Súlyvesztés: viszonylag gyors és megmagyarázhatatlan fogyás
- Letargia: csökkent aktivitás és érdeklődés
- Étvágytalanság
- Megnövekedett vízfogyasztás és vizeletmennyiség a vesék károsodása miatt
- Hányás
- Tapintható vesemegnagyobbodás
Hogyan diagnosztizálható?
A fizikális vizsgálat során felkeltheti a betegség gyanúját, ha megnagyobbodott az egyik vagy mindkét vese. Következő lépés a vér- és vizeletvizsgálat, melyek a cica általános állapotának, valamint a vesefunkció felméréséhez szükségesek.
A képalkotó vizsgálatok közül a vesék (és a többi hasüregi szerv) vizualizálásához a hasi ultrahangot alkalmazzuk a leggyakrabban, de a megnagyobbodott vese kontúrja a röntgenfelvételeken is ábrázolódhat.

Megnagyobbodott vese röntgen felvétele macskában
A vesék mellett a betegség érintheti a tápcsatornát, illetve a hasi nyirokcsomók is megnagyobbodhatnak. Végleges és biztos diagnózishoz vékonytű aspiráció vagy biopsziás mintavétel szükséges.
Hogyan kezelhető a veselimfóma?
Bizonyos tumortípusoknál az elváltozott vese eltávolítása lenne a terápia legfontosabb eleme, itt viszont kerülendő a műtéti beavatkozás, mert a veselimfóma szisztémásan kemoterápiával kezelendő. Diagnózis után a kemoterápia mellett vagy önállóan szteroid adása is javasolt.
Támogató kezelésként fontos a veseelégtelenség kezelése, az étvágyjavítás, és a folyadékterápia.
Mi várható egy veselimfómás cicánál?
A prognózist befolyásoló tényezők közé tartozik a betegség stádiuma a diagnózis időpontjában, a veseelégtelenség mértéke, a macska általános egészségi állapota, és a kezelésre adott válaszreakció.
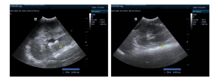
Limfómás vese ultrahang felvétele kezelés előtt és 1,5 hónappal a terápia megkezdése után
A medián túlélési idő átlagosan kb. 3-6 hónap. Korai felismerés és kedvező terápiás válasz esetén bizakodhatunk hosszabb túlélésben.
Hogyan előzhető meg?
A benti tartás, a FeLV és FIV fertőzés elkerülése miatt, csökkentheti a veselimfóma kockázatát is. Kijárós macskák szűrővizsgálata és leukózis vírus elleni védőoltása javasolható.
///
A témában még az alábbi cikkeket ajánljuk:
- A különböző szervek daganatai (bőrdanat, gyomordaganat, máj- és hasnyálmirigy daganat stb…)
- A lymphoma betegségről szól bővebben egy másik cikkünk is.




