A mesothelioma egy ritka rosszindulatú daganat, mely a belső szerveket és a testüregeket borító savóshártyák úgynevezett mesothel sejtjeiből alakul ki.
Leggyakrabban a mellhártyán, a szívburokban, néha a hashártyán, extrém ritka esetben a herezacskó belső savóshártyáján alakul ki. Áttéteket adhat a nyirokutakon keresztül vagy a daganatsejtek közvetlen beágyazódásával a savóshártyák egyéb területeire, ez az úgynevezett implantácios metasztázis.
A mesothelioma okai és kockázati tényezői
Embereknél a mesothelioma az azbeszttel dolgozók körében gyakoribb, ennek egyértelmű hajlamosító hatása van, bár kialakulásáig általában több évtized telik el. Az azbeszt egy természetben előforduló szálas szerkezetű ásvány, veszélyt csak a porladó azbesztszálak, illetve az azbesztpor belélegzése jelent. A légutakba kerülve az azbeszt kromoszómakárosodást okoz, ami a sejtek rákos elfajulásához vezet, ezért erősen karcinogén anyagnak minősül. Porladó azbeszttel szennyezett környezetben élő kutyákban is nagyobb eséllyel alakul ki mesothelioma.
A kutyafajták közül német juhászban, flandriai pásztorkutyában, ír szetterben gyakrabban fordul elő. Macskákban nagyon ritkán alakul ki mesothelioma.

Német juhászkutya
Mik a betegség leggyakoribb tünetei?
A mesotheliomával érintett állatok aktivitása, terheléstűrésük csökken, kedvük és étvágyuk rosszabb lehet. A mellüregben (pleurális), a szívburokban (pericardiális) és/vagy a hasüregben (peritoneális) folyadék halmozódik fel, aminek oka a daganat felszínéről és a daganat által elzárt nyirokerekből történő folyadékkilepés. A hasi folyadék miatt a has teltebbnek tűnik, a mellkasi folyadék pedig szapora és nehezített légzést, köhögést okoz.
Percánálfolyadék jelenléte esetén a has egyik oldalán történő meglökésével keltett hullámmozgás érezhető az ellenkező oldalon, ez az úgynevezett unduláció.
A szívburokban felhalmozódó folyadék a szívet kívülről összenyomja, a szívüregek nem tudnak megfelelően vérrel feltelni, így a kipumpált vér mennyisége is csökken, szívtamponád alakul ki, ami egy akut életveszélyes állapot és akár szívmegálláshoz is vezethet.
A mesothelioma hogyan diagnosztizálható?
A tünetek szerinti célzott képalkotó vizsgálatok rendszerint mellkas röntgennel és/vagy ultrahanggal és hasi ultrahanggal kezdődnek. Ezek a folyadékfelhalmozódáson túl általában nem adnak plusz információt, mivel a betegség diffúz jellegű, és nincsenek nagyobb méretű, látható gócok. A folyadékból történő mintavétel nem csak terápiás szempontból lényeges, segítheti a diagnosztikát is, ha az egyéb – differenciáldiagnosztikai szempontból – szóba jövő betegségek egy része ezzel kizárható (pl. gyulladás, lymphoma).
Azonban a mesotheliomákat citológiai vizsgálattal nehéz, sok esetben nem is lehet elkülöníteni a reaktív (nem daganatos) mesothel sejtektől, illetve a carcinomáktól és az adenocarcinomáktól, ez különösen igaz testűri folyadékokból (nem gócból) származó minták esetén.
A szívburok folyadék pH-ja utalhat az alapbetegség jó vagy rosszindulatú mivoltára. Ha a pericardialis folyadék pH-ja 7,5-nél nagyobb, mesotheliomára és hemangiosarcomára nagyobb az esély, míg a “jóindulatú” folyadékok pH-ja általában 6,5-nél kisebb.
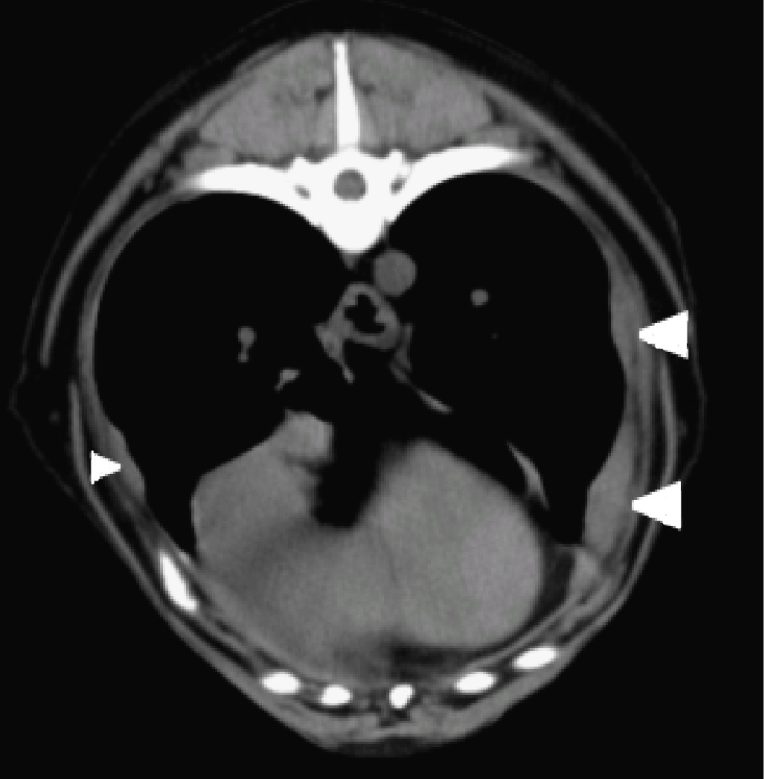
A röntgennél és ultrahangos vizsgálatnál érzékenyebb a mellüregi, hasüregi CT vizsgálat, ami előtt javasolt a folyadékot lecsapolni az altatási kockázat csökkentése és a képalkotás diagnosztikai értékének növelése miatt. CT felvételeken gyakran – de nem minden esetben – látható a savóshártyák lokális megvastagodása, kontraszthalmozása.

Mellkasi CT-n látható mellhártya megvastagodás -nyilakkal jelölve
Pontos diagnózis az elváltozást mutató területekről célzottan vett biopsziás minták szövettani és immunhisztokémiai vizsgálatával adható, de erre nem minden esetben kerül sor.
Hogyan kezelhető a mesothelioma?
Mivel a mesothelioma nem gyógyítható, a terápia célja az élettartam meghosszabbítása, az életminőség javításával párhuzamosan.
A szívburkon történő “ablak” nyitás (pericardiectomia) megakadályozza a folyadék szívburkon belüli felhalmozódását, ezzel elkerülhető a szívtamponád okozta életveszélyes állapot.
Testüregbe adott és/vagy intravénás kemoterápiára a betegek kb. 50%-a reagál kedvezően, ezekben az esetekben a folyadékfelhalmozódás csökken és hosszabb túlélés várható.
TELEFONOS ONKOLÓGIAI KONZULTÁCIÓ DAGANATOS ÁLLATOKNAK
Daganatos betegségnél minden nap számít.
Telefonon átbeszélhetjük a leleteket, második véleményt adok és személyre szabott kezelési tervet készítek – akár már 2–3 napon belül.
A konzultációhoz a korábbi leleteket kérem előre beküldeni legalább 48 órával a megbeszélt időpont előtt (e-mailben vagy futárral).




