Egy kis anatómia és élettan…
A prosztata a hím kutyák és macskák nemi apparátusának járulékos nemi mirigye. Kutyákban a húgyhólyag nyaka mögött helyeződik, jobb és bal lebenye teljesen körülöleli a húgycső elülső részét. A macskák prosztatája ehhez képest kissé hátrébb helyeződik, a húgyhólyagtól 2–3 cm-re, és nem borítja be teljesen a húgycsövet.
Prosztata anatómia
A prosztata mérete, szerkezete az ivaréréskor jelentős változáson megy keresztül. Ezzel párhuzamosan a here állományának sejtjei is fejlődnek, a vérplazma tesztoszteronszintje pedig növekszik, a prosztata ezután kezdi el a fehérjében, kálciumban, savas karakterű anyagokban, cukorban gazdag tápfolyadék termelését, mely segíti a spermiumokat, hogy a nőstények nemi utaiban életben maradjanak a megtermékenyítésig.
A különféle prosztata problémák kandúrokkal ellentétben a kan kutyáknál nagyon gyakoriak. Ezek közé tartozik a
- prosztata megnagyobbodás (hiperplázia),
- a prosztatagyulladás,
- a cisztás elváltozások és
- a prosztata daganatos elfajulása.
A prosztata daganatok az ondófolyadék termelésért felelős sejtekből fejlődnek ki.
Melyik a leggyakoribb prosztata daganat?
A leggyakrabban diagnosztizált prosztata daganat az adenocarcinoma, ami egy rosszindulatú elváltozás, de meglehetősen ritkán fordul elő, a hím kutyák 0,3 – 0,6 %-át érinti. A prosztata másodlagos daganatai (másik szervben kialakuló daganat prosztatába adott áttétje) jóval ritkábbak, ezek közül a húgyhólyagból kiinduló átmeneti sejtes carcinoma igazolódik legtöbbször, néhány esetben egyéb carcinomák, lymphoma, fibrosarcoma, osteosarcoma, hemangiosarcoma, leiomyosarcoma igazolódik.
Prosztata tumor mind az ivaros, mind az ivartalanított kanokban előfordul, de utóbbiakban valamennyivel gyakrabban fedezik fel, ez viszont nem feltétlenül jelenti azt, hogy az ivartalanítás rákot okoz. A különbségben szerepet játszhat, hogy az ivartalanított kutyák általában hosszabb élettartammal rendelkeznek, és ez a daganat idősebb korban jellemző. Ezen túl szerepet játszhat az ivartalanított kanok relatív ösztrogén túlsúlya, de a pontos ok nem teljesen tisztázott.
Jóindulatú prosztata daganatokkal nem találkozunk a mindennapi onkológiai praxisban.
Mely fajták a legérintettebbek?
A kutyafajták közül gyakrabban fordul elő dobermannokban, skót terrierekben, shetlandi juhászkutyában, törpe uszkárokban, pointerekben, airdale terrierekben. Néhány fajtában pl. cocker spánielben és tacskóban viszont ritkábban találkozunk vele.
A cicák ebből a szempontból szerencsések, náluk extrém ritka a prosztata daganat, csupán néhány esetleírás van idősebb ivartalanított kandúrok adenocarcinomájáról. Biológiai viselkedésük hasonló, de prognózisuk még rosszabb, mint kutyákban, a diagnózistól számított 3 hónapon belül rendszerint fatális kimenetelű a betegség.
Mikor merülhet fel prosztata probléma? Milyen jelekre kell figyelni?
A klinikai tünetek sokáig rejtve maradhatnak és nem feltétlenül specifikusak a különböző jellegű gyulladásos, daganatos vagy időskorban előrforduló megnagyobbodásos elváltozásokra, de legtöbbször az alábbi rendellenességeket vehetjük észre:
- nehezített és gyakori vizelési inger, vékony sugarú, akár véres vizelet
- erőltetett, fájdalmas,elnyújtott bélsárürítés, bélsárrekedés
- vékony, szalagszerű bélsár
- sántítás, megváltozott végtaghasználat
- megnövekedett vízfogyasztás
- fáradékonyság
- csökkent étvágy, fogyás
- hátágyéki, illetve hasi fájdalom
- láz
Nehezített bélsárürítés
Hogyan diagnosztizálhatjuk az elváltozást?
A prosztata megnagyobbodása esetenként (az állat méretétől és a prosztata megnagyobbodásának mértékétől függően) rektális tapintással, hasi röntgennel, vagy még inkább ultrahanggal diagnosztizálható. A méretnövekedés okának felderítésére a citológiai mintavétel teremt lehetőséget, melyet rendszerint katéteres technikával végzünk. Ezen túl érdemes lehet még vizelet citológiát és mikrobiológiai vizsgálatot végezni.
A 3 dimenziós képalkotó vizsgálatoknak (pl. CT, MRI) itt általában az áttétkeresésben van szerepük. A prosztata állományának kalcifikációja (meszes gócok) a tumoros folyamat jellemzője, ahogy a CT-n vagy röntgenen a környező csigolyatesteken látható csontoldódás is erre utal.
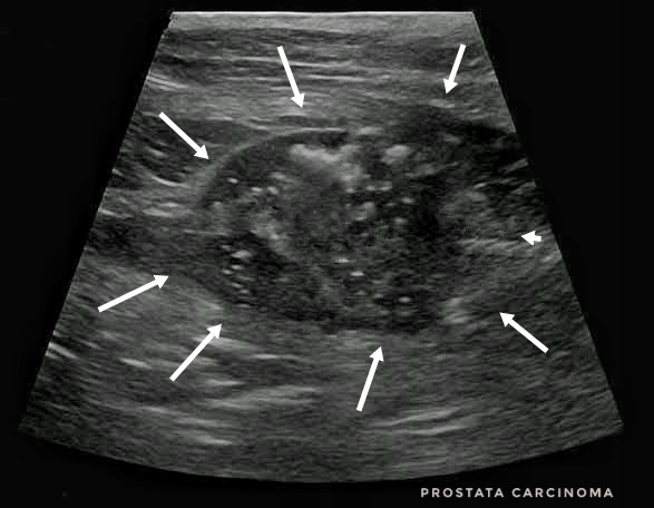
Prosztata carcinoma
Mi jellemzi ezt a daganatot?
A rendszerint invazív és viszonylag gyors növekedés tipikusnak mondható, emiatt a környező képleteket, így a húgycsövet, húgyhólyagot, a vastag- és végbelet kívülről nyomja.
A prosztatadaganatból a metasztázis gyakori, általában a környező hasi nyirokcsomókba, az ágyéki csigolyatestekbe, a medencecsontba és a tüdőbe ad áttéteket.
A prosztata daganatok kezelése
Ezeknek a neoplasztikus elváltozásoknak a műtéti eltávolítása a húgycső károsodása nélkül rendszerint nem kivitelezhető, a komplikációk miatt a sebészi megoldás általában nem opció.
A húgycső elzáródása esetén, stent felhelyezése segíthet átmenetileg, lehetővé téve a vizeletürítést. A stent olyan, mint egy lukacsos drótháló, ami a húgycső szűkület területén belülről merevíti annak falát, azonban beültetése után komplikációkkal is számolni kell (inkontinencia, elmozdulás, gyulladás).
A prosztata daganatait hagyományosan intravénás kemoterápia és nem-szteroid gyulladásgátló szerek kombinációjával kezelik, célja a daganat méretének csökkentése és a metasztázisok kialakulásának lassítása. A kemoterápia valódi hatékonysága azonban ezeknél a daganatoknál nem teljesen ismert, bizonyos esetekben javíthatja a túlélést.
A nem-szteroid gyulladáscsökkentők (NSAID-ok), mint például a piroxikám vagy a karprofen alkalmazása önállóan, kemoterápia nélkül is kifejezetten előnyös a minőségi – és hosszabb túlélés szempontjából.
A csigolyatestek vagy a medencecsont érintettsége, csontoldódás esetén biszfoszfonátok adása is jótékony lehet, mivel lassíthatják a csont aktív lebontását és ezáltal csökkenthetik a fájdalmat.
Ha a vér kálciumszintje emelkedik, annak gyógyszeres kezelésére is szükség lehet.
A sugárterápia bizonyos esetekben alkalmazható a prosztata régiójában és az érintett nyirokcsomókban vagy a csigolyákon, de ez inkább palliatív jellegű és rövid távú enyhülést jelenthet a vizelet elzáródása esetén, azonban gyakori szövődményként vastagbélgyulladás alakulhat ki.
A prosztata adenocarcinomák hosszútávú prognózisa kedvezőtlen. A diagnózis idején az áttétek már gyakoriak. A kezelés elsősorban életminőséget javító, palliatív jellegű.
TELEFONOS ONKOLÓGIAI KONZULTÁCIÓ DAGANATOS ÁLLATOKNAK
Daganatos betegségnél minden nap számít.
Telefonon átbeszélhetjük a leleteket, második véleményt adok és személyre szabott kezelési tervet készítek – akár már 2–3 napon belül.
A konzultációhoz a korábbi leleteket kérem előre beküldeni legalább 48 órával a megbeszélt időpont előtt (e-mailben vagy futárral).




