Tudtad, hogy a kutyák daganatos betegségeinek kb. 6-7%-át teszik ki a szájüregi tumorok, macskák esetében ez kb. 3%? Kan kutyákban előfordulásuk kb. 2,4x gyakoribb, mint szukákban. A kutyafajták közül leggyakrabban a németjuhász, golden retriever, spániel, pointer, weimari vizsla, boxer, chow-chow, gordon szetter és uszkár terhelt ezzel a betegséggel.
Kutyák leggyakoribb daganatai az orális melanomák, ezt követi a laphám carcinoma, majd a fibrosarcoma, de számos egyéb daganattípus is diagnosztizálásra kerül, így előfordul osteosarcoma és egyéb sarcomák, ameloblastoma, mastocytoma, lymphoma is a sorban és természetesen olyan jóindulatú elváltozásokkal is találkozunk a vizsgálatok során, mint a papillomák, fibromák.
Macskáknál magasan a laphám carcinoma vezeti a statisztikát a maga 70-80%-os előfordulási gyakoriságával, a fibrosarcoma kb 10-20%-kal követi, a melanoma viszonylag ritka, a szájüregi daganatok 3%-át teszi ki.
A szájüregi daganat tünetei
Sajnos a szájüregi daganatok sokáig rejtve maradhatnak, és mire észreveszik őket, már túl nagyok ahhoz, hogy igazán hatékonyan lehessen kezelni őket.
Az első tünet gyakran az étvágy látszólagos csökkenése, de ezek az állatok sokszor éhesek, de a táplálékfelvétel közben jelentkező fájdalom miatt sokszor csak szagolgatják az ételt, vagy ímmel-ámmal eszik és jó részét otthagyják. Az állatok lehelete bűzössé válhat, illetve véres nyálzás keltheti fel a figyelmünket, mely gyakran az állat mellső mancsain vagy az etető-itató edényben hagy árulkodó nyomokat.
A macskák tisztálkodási rituáléja csökken vagy elmarad, emiatt ápolatlanabb, kicsit rozogább benyomást keltenek. Előrehaladott stádiumban arc-orri deformitás és kemény duzzanatok láthatók a fejtájékon.A cicák szájüregét általában nehezebb megvizsgálni az ellenkezés miatt, így a macska szájüregi daganat általában előrehaladottabb állapotban van már, mire észreveszik.
Szájüregi daganat – laphám carcinoma miatti arctájéki deformitás, véres váladék a mancson
Az orrüregből véres váladék szivároghat, de kialakulhat rendellenesség a szemkörnyéken is (pl. szemhéjak duzzanata). Sok tünet kapcsán sokszor fogászati problémára gondolnak és csak az altatásos beavatkozás során derül fény az oda nem illő szövetszaporulatra.
Diagnosztika
A vizsgálatot nehezíti, ha az állat szájüregét éberen nehezen lehet vizsgálni, ilyenkor bódításra lehet szükség. Ha daganatos elváltozásra van gyanú, azt mintavétellel kell igazolni, mert a daganat típusa a kivizsgálás további lépéseit, a kezelés módját, és a betegség prognózisát is befolyásolja. Az általános állapot felméréséhez szükséges vérvétel, vizeletvizsgálat is javasolt minden esetben.
A szájüregi daganatok operációjának tervezéséhez és áttétkereséshez általában CT vizsgálatra, illetve a környező nyirokcsomók citológiai vizsgálatára is szükség van. Hasi ultrahang melanoma esetén mindenképp javasolt, de egyéb daganatoknál is ajánlott. A kimetszés után a komplett minta szövettani vizsgálatával a sebszélek épsége, a vérerekbe és nyirokerekbe tö9rténő tumorinvázió is megítélhető. Komplex terápiás javaslatot is rendszerint a szövettani vizsgálat után tehetünk a stádiumba sorolás után.
Papilloma
A papillomák vagy szemölcsök az őket okozó vírusokról kapták nevüket. Rendszerint fiatal állatok szájnyálkahártyáján, a nyálkahártya-bőr átmenetnél, a szem környéken vagy máshol a bőrön alakulnak ki a jellegzetes, felszín felé emelkedő, karfiolos, szürkésfehér, élesen elkülönülő hámelváltozások. Megjelenésük lehet csoportos (akár 50-10 kis tumor) vagy önálló. A tünetek a fertőzés után 1-2 hónappal jelentkeznek és a szemölcsök sokszor spontán visszahúzódnak, a szájüregben 6 hónapon belül, a bőrön 1 éven belül, de néha előfordul perzisztáló forma is, mely idővel rosszindulatúvá is válhat, ezért a múlni nem akaró elváltozások műtéti eltávolítása javasolható.
Vírusos papilloma kutya nyelvén
Odontogén fibroma
Ezek az epulisok jóindulatú elváltozások, melyek a foggyökér melletti területről, az úgynevezett parodontális ligamentumból erednek, és úgy néznek ki, mint az íny túlburjánzása. Kutyákban gyakori, cicákban azonban ritka. Az elváltozások elsősorban a felső állcsonton jelentkeznek, lassan növekvő, sima masszák formájában, melyek felszíne ép, fekélyesedés nem jellemző.
Odontogen fibroma
Acantomatosus ameloblastoma
Ez a tumor shetlandi juhászkutyákban és óangol juhászokban fordul elő leggyakrabban, inkább idősebb egyedek állkapcsának elülső részén. Habár helyileg invazívan viselkedik, a környező csontos képleteket is beolvasztja, de a klasszikus értelemben nem tekinthető rosszindulatú daganatnak, mert áttétet nem képez. Az agresszív lokális viselkedésük miatt mondhatjuk, hogy átmenetet képeznek a jó- és rosszindulatú daganatok közt. Acantomatosus epulisnak is nevezik.
Leggyakoribb rosszindulatú szájüregi daganatok
Oralis melanoma
Kistestű, 11 év körüli kutyákban találkozunk vele leggyakrabban. A melanomák általában pigmentált, sötétvörös, feketés szövetburjánzások, de az esetek kb. ⅓-ában pigment nélküli, amelanotikus formában is jelentkezhetnek, ilyenkor vöröses rózsaszín duzzanatokat látunk a szájüregben az ínyen, pofa nyálkahártyán, szájpadláson, vagy a nyelv környékén.
Malignus oralis melanoma
Ez a daganat rendkívül rosszindulatú, mivel gyors és agresszív növekedés jellemzi a kialakulás helyén, sokszor érinti a csontos képleteket is, ráadásul gyakran és nagyon hamar képez áttéteket a környező nyirokcsomókba, vagy távoli metasztázisokat adhat a tüdőbe, de akár a központi idegrendszerbe vagy a hasüregi szervekbe is. A prognózis rossz, a medián túlélés rendszerint kevesebb, mint öt hónap.
Legjobb esélyei a korai stádiumú, még áttétmentes betegeknek vannak, radikális (akár a csontot is érintő) eltávolítással. A műtét után kiegészítő sugárkezelés általában javasolható. Áttétes esetekben a kemoterápia lokális daganat kontrollra nem alkalmas, de az áttétek növekedését valamelyest lassíthatja. A műtét és sugárkezelés mellett a legkecsegtetőbb terápia az Oncept melanoma vakcina lenne, mely jelenleg sajnos nincs Magyarországon forgalomban.
Laphám carcinoma
Ez a leggyakoribb szájüregi tumor cicákban és kutyákban sem sokkal marad el a melanoma mögött. Macskáknál a laphám carcinoma kialakulásának kockázatát növelheti a dohányfüstös környezet, a bolhanyakörv és a nedves, főleg halas eledelek etetése.
Habár a daganat a lágyrészekből, az ínyből, szájpadlás területéről, nyelv környékéről indul ki, nagyon gyakran érinti a környező csontos képleteket is, mely mely főleg cicáknál kiterjedt és igen fájdalmas lehet és nehezítheti a száj nyitását, illetve a táplálékfelvételt, vagy okozhat orrfolyást, orrvérzést, szemtájéki elváltozásokat, az arc-orri régió teljes deformitását.
Laphám carcinoma macska állkapocs tájékán
Az áttétképződés kevésbé jellemző erre a tumorra, kutyákban kb. 20%, de a hátrébb kialakuló daganatok és a garatmandulákat érintő laphám carcinoma esetén magasabb áttétképzési hajlammal kell számolni.
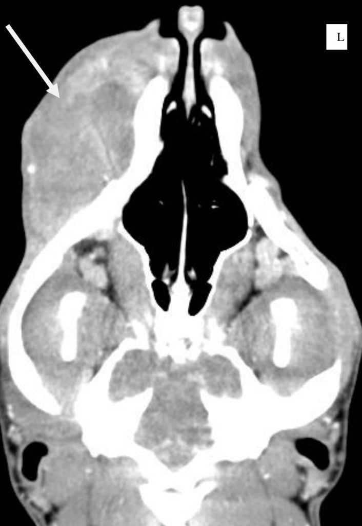
Fibrosarcoma
Macskák 2., kutyák 3. leggyakoribb szájüregi daganattípusa. Retrieverekben és más nagytestű kutyafajtákban és azon belül is kanokban találkozunk vele leginkább, már fiatalabb, 7-8 éves állatokat is érinthet. A szövettanilag kevésbé rosszindulatúnak imponáló daganatok is viselkedhetnek agresszíven bizonyos esetekben, ezért lehetőség szerint radikális kimetszésük szükséges, akár sugárkezeléssel kiegészítve. Áttétképződés kb. 30%-ban fordul elő.
Fibrosarcoma CT felvétele kutya állcsontjánál
TELEFONOS ONKOLÓGIAI KONZULTÁCIÓ DAGANATOS ÁLLATOKNAK
Daganatos betegségnél minden nap számít.
Telefonon átbeszélhetjük a leleteket, második véleményt adok és személyre szabott kezelési tervet készítek – akár már 2–3 napon belül.
A konzultációhoz a korábbi leleteket kérem előre beküldeni legalább 48 órával a megbeszélt időpont előtt (e-mailben vagy futárral).




