A kutyák szaglása fajtától függően 1000-100.000-szer érzékenyebb az emberekénél. A szaglóhám emberekben csupán 5-10 cm², kutyákban 150-170 cm². Míg emberekben a szaglóhámom kb. 5 millió receptor található, kutyákban kb. 300 millió. A szaglóinformációkat feldolgozó agyterület aránya kutyákban kb. 40-szer nagyobb az embereknél.
Az orr felépítése
Az orr csontos és porcos vázból és az azt körülvevő lágyszövetekből álló üreges szerv. Az orr csúcsának szőrtelen része az orrtükör, ahol az orrjáratok nyílnak. Az orrüreg belső részében középen egy sövény (septum) húzódik, mely elválasztja egymástól a bal és jobb orrjáratot. Az orrüregben három, labirintus szerű orrkagyló van (alsó, felső, középső), melyek a felső szaglójáratot, a középső sinus járatot és az alsó légzőjáratot különítik el. A három orrjárat az orrkagylók és az orrsövény közt helyeződő résszerű közös orrjárat útján közlekedik egymással.
Orrüreget alkotó és határoló csontok micro CT felvételének 3D rekonstrukciója, Justanatomy Kft. – dr. Petneházy Örs szíves hozzájárulásával
Az orrmelléküregek nyálkahártyával bélelt levegőtartalmú üregek, melyek vékony csontlemezek közt helyeződnek és az orrüreggel apró nyílásokon át közlekednek. Kutyákban és macskákban is megtalálható a legnagyobb méretű homlok öböl, ezen kívül kutyákban kisméretű állcsonti öböl, cicákban pedig ékcsonti öböl helyeződik.
Milyen gyakran és milyen korban fordulnak elő az orrüreg daganatai?
Az orr- és orrmelléküreg daganatok a kutyák légúti daganatainak körülbelül 60-80%-át teszik ki, de az összes daganatos megbetegedésnek ez kb. 1%-a. Cicákban ennél ritkábban fordulnak elő.
A daganatok leggyakrabban az orrüregben fordulnak elő, és onnan törnek be a homlok- vagy más orrmelléküregbe.
Kanokban kissé gyakrabban fordul elő, mint szukákban. A kialakuláskor az átlagéletkor kb. 10 év.
Mik lehetnek hajlamosító tényezők?
- A hosszú orrú, ún. doliocephal kutyáknál nagyobb a kialakulás kockázata.
- A rövidorrú, ún. brachycephal fajták (pl. mopsz, bulldogok, pekingi palotapincsi stb.) az egyéb veleszületett légzőszervi rendellenességek miatt jellemzően nyitott szájjal lélegeznek, aminek következtében az orrturbinák kisebb mértékben találkoznak a potenciálisan rákkeltő anyagokkal a légzés során.
- Környezeti hajlamosító tényezők: dohányfüst és a szén égéstermékeinek belélegzése, illetve a bolhaspray.
A sinonasalis tumorok kockázata az orrjáratok felületének nagyságával és a szűrőképesség hatékonyságával egyenesen arányos. A keverék és fajtatiszta kutyák érintettségében nincs különbség, ami a környezeti hatások szerepére utal.

Kontrasztanyagos CT rekonstrukció az orrjáratok síkjában, Justanatomy Kft. – dr. Petneházy Örs szíves hozzájárulásával
A fokozottan érintett fajták közé tartozik a skót- és shetlandi juhászkutya, az airedale terrier, az óangol juhászkutya, a skót terrier, a basset hound és a német juhászkutya, de a labrador retrieverek és a golden retrieverek is felülreprezentáltak a többi fajtához képest.
A macskáknál a krónikus orrjárat- és orrmelléküreg gyulladás kiváltó faktor lehet egy későbbi tumor kialakulásában.
Milyen szövettani típusú daganatok fordulnak elő?
A kutyák orrüregében az esetek kb. 2/3-ában különböző carcinomák (pl. adenocarcinoma, laphámsejtes carcinoma) alakulnak ki, ezek úgynevezett epithelialis (hám eredetű) tumorok. Ezek után a különféle mesenchymális neopláziák következnek, közülük rendszerint osteosarcoma, fibrosarcoma és chondrosarcoma fordul elő. Ezen elváltozásokat elsősorban az invazív lokális növekedés jellemzi, áttétet szerencsére ritkán adnak (0-12,5%).
Ezeknél jóval ritkábban hemangiosarcomát, mastocytomát, lymphomát, melanomát és neuroendokrin daganatokat diagnosztizálunk.
Macskákban a lymphoma a leggyakoribb orrüregi daganatos elváltozás, melyet a carcinomák követnek, egyéb szövettani típusú neoplázia kifejezetten ritka.
Milyen tüneteket tapasztalhatunk?
Kutyáknál a tünetek jellemzően elhúzódóak, a diagnózisig több hónap vagy akár év is eltelhet. Általában szuszogás, rendellenes felső légúti zörejek, orrváladékozás, orrvérzés, tüsszögés vagy úgynevezett reverse sneezing, azaz fordított irányú tüsszögés jelentkezhet. Előrehaladott esetben pedig kedvetlenség, fogyás és a pofatájék deformitása vagy duzzanata utalhat a komolyabb problémára. A szájüregi vizsgálat során esetenként a kemény szájpadláson is látható elváltozás.
Feltűnhet a szem váladékozása, a szemgolyó kidülledése, ritkán a látás elvesztése, melyek rendszerint egyoldali tünetek. A központi idegrendszer érintettségére utaló jelekkel ritkán találkozunk a korai diagnosztika során (pl. görcsrohamok, viselkedésbeli változások, tudatzavar, neurológiai kiesések), mert ezek a folyamat előrehaladott szakaszában jelentkeznek.
Cicáknál is gyakran sok idő telik el a diagnózisig, és a szimptómák utalhatnak arra, hogy az orrüreg elülső része (orrfolyás és tüsszögés) vagy a hátrébb helyeződő, orrgarat felé eső terület érintett (hortyogó légzés, megváltozott hang). A lágy szájpadlás tapintata tömöttebb lehet, ha az elváltozás a hátulsó régióban helyeződik. Fokozott könnyezés, orrvérzés és az arc deformitása macskákban is megfigyelhető időnként.
Orrüregi daganat okozta arc-orri deformitás macskában
Mi okozhat még hasonló tüneteket?
A krónikus orrüregi tünetekben szenvedő kutyák körülbelül 33%-ának van orrdaganata. A tumoros betegségek differenciál diagnózisai közé tartoznak a különböző fogászati betegségek, az oronasalis sipolyok, a lymphoplasmocytás orrgyulladás, a bakteriális orrgyulladás, az aspergillosis (gombás betegség), a gyakori idegen test (pl. toklász) beékelődés, valamint a jóindulatú poliposus elváltozások. Orrvérzés kialakulhat pl. véralvadási zavar következtében is.
A macskákban leggyakoribb differenciál diagnózisok:
- Fogászati betegségek
- Orrgaratüregi polipok
- Bakteriális vagy vírusos nátha
- Lymphoplasmocytás orrgyulladás
- Gombák által okozott ritka cryptococcosis
Milyen diagnosztikai vizsgálatokkal juthatunk diagnózishoz?
Orrüregi tumor RTG árnyéka
A kivizsgálás során:
- Vérvizsgálatot
- Orrüregi és mellkas röntgent
- Újabban három dimenziós képalkotó (CT vagy MRI) eljárásokat
- A környéki nyirokcsomók aspirációs citológiáját
- Orrüregi endoszkópos vizsgálatot (rhinoszkópia)
javasolhatunk, utóbbit mikrobiológiai és szövettani mintavétellel (biopszia) érdemes összekötni.
Rhinoszkópia
A vakon vett citológiai vagy biopsziás minták sok esetben nem diagnosztikusak, ezért jobb az endoszkópos vizsgálat során a célzott mintavétel az elváltozást mutató területről. Nem túl gyakori, de előfordul, hogy az orrüreget műtéti úton kell feltárni (rhinotomia) és csak így lehet megfelelően diagnosztikus mintát nyerni. A véralvadási paraméterek ellenőrzése szükséges a rhinoszkópia előtt a véralvadási zavarok (koagulopátiák) kizárására.
A vérlabor eredményei általában nem specifikusak. Vérkép sok esetben normális, vagy enyhe gyulladásos eltéréseket mutat, idült orrvérzés esetén vérszegénység, illetve a fiatal vörösvérsejtek (retikulociták) számának növekedése előfordulhat. A csontos vázat érintő elváltozásoknál emelkedhet a vér alkalikus-foszfatáz szintje, de ez más betegségekkel összefüggésben is tapasztalható.
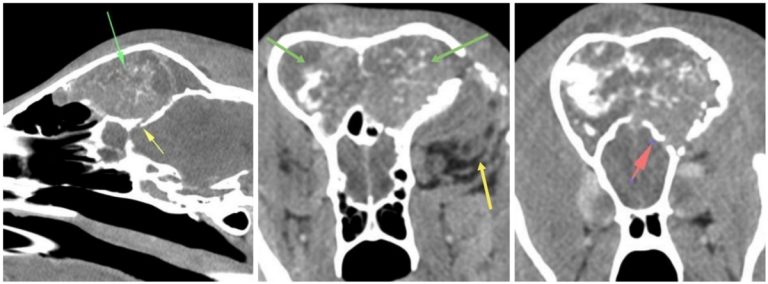
Csontoldódást okozó homloküregi tumor CT felvétele
Távoli áttétek a diagnózis idején rendszerint még nem képződtek, de a betegség előrehaladásával ezek kialakulásának esélye is megnövekszik. A metasztázisok leggyakoribb helye a nyirokcsomók, a tüdő és az agy, ritkábban a környező csontok, szív, máj, vesék, mellékvesék érintettek.
Milyen kezelési lehetőségek jönnek szóba és mire számíthatunk?
A szövettani eredmény prognosztikai jelentőséggel bír, mivel a sarcomák (elsősorban a chondrosarcomák) jobb prognózisúak, mint a carcinomák. A laphám carcinomás és differenciálatlan carcinomában szenvedő kutyák túlélési ideje általában rövidebb, mint az adenocarcinomában vagy sarcomában szenvedő kutyusoké.
Az orrüreg belsejében kialakult daganatok esetén a műtét önmagában nem kellően hatékony, ezzel nem növelhető lényegesen a túlélési idő a kezeletlen kutyákhoz képest. Kezelés nélkül a túlélési idő a diagnózistól kb. 3 hónap, csak műtéti beavatkozással átlagosan 3-6 hónapra tehető.
Sugárkezeléssel a túlélési idő átlagosan 1 év (8-19 hónap között), az élettartamot pedig rendszerint a helyi kiújulás limitálja és nem az áttétek kialakulása.
A kemoterápia lényegesen nem növeli a túlélési időt (átl. 5 hónap), de a tüneteket enyhítheti. Elsődleges terápiaként ritkán alkalmazzuk, de csak bizonyos esetekben szóba jöhet.
Az orr limfómában szenvedő macskák hosszú távon jól kontrollálhatók kizárólag helyi besugárzással, bár a betegek egy részénél a folyamat szisztémás jellege miatt az önálló sugárterápia nem hoz kielégítő javulást, ilyenkor kemoterápiás kezelés is javasolható. A macska leukózis vírussal fertőzött egyedeknél a prognózis rosszabb, mint a leukózis mentes cicáknál.
Macskák orrüregi adenocarcinomája esetén a műtét önmagában nem növeli a túlélést. Sugárkezelés vagy citoreduktív műtét sugárterápiával kombinálva javítja a túlélési időt.
Amennyiben daganatspecifikus kezelésre valami miatt nincs lehetőség, úgy a tünetek enyhítésére kell törekedni mindaddig, amíg az állat életminősége jó. Ezt palliativ terápiának nevezzük, melynek alkalmazása kiemelten fontos az onkológiai betegeknél, akár a specifikus terápia mellett is.
-//-
A brachycephal fajták, mint a mopszok, bár az orrüregi daganatokra kisebb hajlammal rendelkeznek a nyitott szájjal való légzés miatt, összességében érzékenyebbek lehetnek más fajtaspecifikus egészségügyi problémákra, amelyek növelhetik a daganatos kockázatokat. Ajánljuk a mopszbetegsegek.hu weboldalt (Mopsz Kalauz), amely kifejezetten a mopszokra specializálódott, részletesen tárgyalva a fajtát érintő betegségeket, megelőzési tippeket és aktuális híreket – így segíthet a tulajdonosoknak a korai felismerésben és a komplex gondozásban.
TELEFONOS ONKOLÓGIAI KONZULTÁCIÓ DAGANATOS ÁLLATOKNAK
Daganatos betegségnél minden nap számít.
Telefonon átbeszélhetjük a leleteket, második véleményt adok és személyre szabott kezelési tervet készítek – akár már 2–3 napon belül.
A konzultációhoz a korábbi leleteket kérem előre beküldeni legalább 48 órával a megbeszélt időpont előtt (e-mailben vagy futárral).




