Az osteosarcoma (oszteoszarkóma) alapvetően a csontszövet rosszindulatú daganatos elváltozása, mely a csontokat létrehozó (osteoblast) és lebontó (osteoclast) sejtek rendellenes képződéséből származik.
A hosszú csöves csontok (pl. végtagok) érintettek a leggyakrabban (appendicularis osteosarcoma), ennél jóval ritkábban az állkapocs, a bordák, a csigolyák vagy a medencecsont daganatos elfajulása is előfordul (axiális osteosarcoma).
Ez a tumortípus a csontszöveten kívül is kialakulhat, beleértve az emlőmirigyeket, a lépet, a májat és a veséket. Ezt hívják extraskeletalis (csontszöveten kívül kialakuló) osteosarcomának.
Azt is fontos hangsúlyozni, hogy nem minden csontszövetben kialakuló daganat osteosarcoma!
Miért alakul ki osteosarcoma?
A daganatok kialakulásának hátterében rendszerint nem egy, hanem több kockázati- illetve hajlamosító tényező szerepel, néhány ezek közül környezeti hatás, mások pedig genetikai vagy örökletes faktorok. A sejtek növekedéséért és ennek gátlásáért felelős gének „meghibásodása” jellemző elem lehet.
Az oszteoszarkómák gyakrabban alakulnak ki olyan nagytestű kutyafajtákban, mint pl. golden retriever, labrador, német juhász, boxer, dobermann, rottweiler, német dog, masztiffok, bordeauxi dog, cane corso, ír farkaskutya, pireneusi juhászkutya, agarak, szetterek, bernáthegyi, weimari vizsla.
Miért alakul ki osteosarcoma?
Mik a kutya osteosarcoma tünetei, amiket a gazdi észrevehet?
Az osteosarcoma nagyon fájdalmas, ezért a folyamat előrehaladásával egyre fokozódó sántaság jellemző, sok esetben kifejezett csontkemény duzzanat is kitapintható egy idő után, mely felett a bőr lehet melegebb, de ez nem mindig jellemző.
A fájdalom miatt a kutya levertebb, étvágytalanabb, inaktívabb lehet, időnként felsírhat. Fájdalomcsillapító gyógyszerekre enyhe javulás jelentkezhet, ez azonban rendszerint csak átmeneti és nem hoz teljes sántaságmentességet. Súlyos esetben a csont trauma nélküli, spontán, ún. patológiás törése is előfordul.
A szájüregi osteosarcoma járhat bűzös lehelettel, véres nyálcsorgással, véres orrfolyással, fájdalmas szájnyitással, illetve evéssel, a gazdival való játék (pl. labdázás, kötélhúzás) hirtelen abbahagyásával. A daganat deformálhatja a pofa alakját, aszimmetria alakulhat ki, csontkemény duzzanatok jelenhetnek meg az arc-orri régiónál.
A gerinccsigolyák daganatos elváltozása esetén a gerincvelő és a kilépő idegágak összenyomódhatnak, és a kutya nehezen járhat, részben vagy akár teljesen. A bordákon kialakuló osteosarcoma fix, környezetétől nem elmozdítható duzzanatnak tűnhet.
Mik az osteosarcoma tünetei kutyáknál?
Van-e jellemző lokalizációja ezeknek a daganatoknak a kutyák testén?
A kutyák osteosarcomáinak legjellemzőbb előfordulása a térdízületet alkotó csontok, illetve a vállízület és az elülső lábtőízület („csukló”) csontjai.
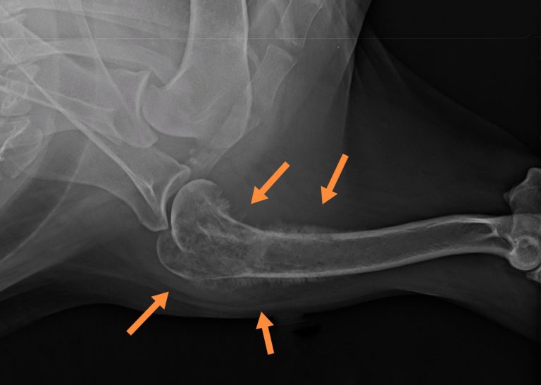
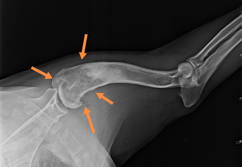
Krónikus, gyógyszerrezisztens sántaságnál, tapintható csontkemény duzzanat esetén a régió röntgenvizsgálata javasolt első körben. Az osteosarcoma (vagy más csontdaganat) esetén a csontok állománya felhőszerűen megritkul, a röntgeneken kissé molyrágtának tűnik, ezzel egyidejűleg a külső felszínen csontfelrakódások is kialakulnak, a csonthártya pedig sokszor elemelkedik, ami nagyon jellemző az osteosarcomára.
Erősen meggyengült csontszerkezet esetén annak patológiás törése, beroppanása is látható lehet. A röntgenfelvételeken látható csontoldódással járó elváltozások fertőző- vagy rosszindulatú folyamatra utalnak, ezért minden esetben további diagnosztikai vizsgálatok javasolhatók.
Ha elváltozás gyanúja merül fel, aspirációs citológiai vizsgálattal juthatunk diagnózishoz, melyhez általában bódítás szükséges. Ha a citológia nem egyértelmű, vagy biztosabb diagnózist szeretnénk, indokolt lehet a csontbiopszia is.
Mi jellemző az oszteoszarkómára?
Az osteosarcoma rendkívül agresszív. Mire diagnózis születik, a kutyák körülbelül 90-95% -ának már mikrometasztázisa van, vagyis a rákos sejtek már elterjedtek máshova, annak ellenére, hogy nem észlelhetők.
Az áttétek leggyakoribb helye a tüdő. A vérkép és a vizelet vizsgálata, többirányú mellkasröntgen vagy még inkább CT vizsgálat, hasi ultrahang és a környező nyirokcsomók citológiai vizsgálata javasolható minden esetben, hogy a betegséget stádiumba sorolhassuk.
Osteosarcoma – mi jellemző erre a betegségre?
Milyen módszereket alkalmazhatók az ilyen típusú daganatok kezelésére?
Lokális daganatkontrollra a radikális műtéti eltávolítás javasolt, mely a végtag esetében annak amputációját jelenti, ami sokszor – érthető módon – ellenérzést vált ki az állat gazdájában. Azt azonban fontos mérlegelni és megérteni, hogy a csontdaganat – főleg a testsúlyt viselő végtag esetén – folyamatos és jelentős fájdalmat okoz az állatnak, ami a műtéttel megszüntethető, így az amputáció lényeges javulást hoz az állat életminőségében!
Mivel a teljes testsúly kb. 60%-ban az elülső végtagokra terhelődik, a hátulsó végtag amputációjához gyorsabban alkalmazkodnak az állatok. Mind elülső, mint hátulsó végtag amputált kutyusok képesek teljes, és boldog életet élni a műtét után, de az amputáció feltétele lehet, hogy az állat ne legyen súlyosan elhízott és ne legyenek komoly ízületi problémái a többi, megmaradó végtagon.
Ha műtét nem jön szóba, sugárkezeléssel lassítható a daganat növekedése, csillapítható valamelyest a fájdalom, de ez teljes lokális daganatkontrollt nem eredményez és a terápia kései szövődménye lehet a besugárzott terület patológiás törése.
Az osteosarcomák rendkívül nagy áttétképző hajlama miatt kemoterápiát szinte minden esetben javaslunk a műtét után, de a legtöbb esetben sajnos még így sem érünk el teljes gyógyulást. Az esetek majdnem 50%-ában 1 éves, és 25%-ban 2 éves túlélést elérhető a műtét utáni kemoterápiás kezeléssel. Kemoterápia nélkül a műtéttel rendszerint 3-5 hónapos túlélés érhető el.
A megfelelő és intenzív fájdalomcsillapítás a palliatív kezelés legfontosabb eleme.
Csontoldódást gátló gyógyszerek, illetve ízületvédők (többi ízület védelmére) is alkalmazhatók a kiegészítő kezelésben.
TELEFONOS ONKOLÓGIAI KONZULTÁCIÓ DAGANATOS ÁLLATOKNAK
Daganatos betegségnél minden nap számít.
Telefonon átbeszélhetjük a leleteket, második véleményt adok és személyre szabott kezelési tervet készítek – akár már 2–3 napon belül.
A konzultációhoz a korábbi leleteket kérem előre beküldeni legalább 48 órával a megbeszélt időpont előtt (e-mailben vagy futárral).




